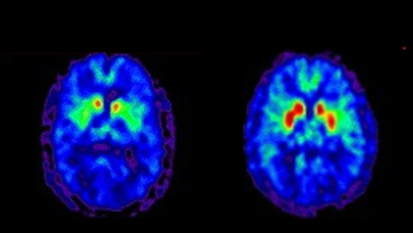
Die typischen Anzeichen einer Parkinson-Erkrankung lassen sich künftig womöglich bis zu 30 Jahre vor dem Auftreten der ersten Symptome nachweisen. Das zeigt eine Studie in der Fachzeitschrift "Neurology". Darin beschreibt das Forscherteam, wie ein Biomarker namens F-AV-133 mittels Positronen-Emissions-Tomographie-Scans (PET) zur Diagnose der Krankheit und zur genauen Verfolgung der Neurodegeneration verwendet werden kann.
Für die Studie erhielten an Parkinson erkrankte Menschen und gesunde Personen innerhalb von zwei Jahren zweimal einen PET-Scan. Bei der Auswertung zeigten sich keine Veränderungen bei den gesunden Personen. Bei den bereits Erkrankten wiesen die PET-Scans jedoch einen erheblichen neuronalen Verlust in drei Schlüsselregionen des Gehirns nach. Mathematische Modellierungen der Forschenden ergaben, dass es bei der Parkinson-Krankheit zu einem über rund 33 Jahre andauernden, schleichenden neuronalen Verlust kommt. Dieser tritt etwa zehneinhalb Jahre früher auf, als sich die Krankheit im PET-Scan nachweisen lässt. Und danach dauert es weitere sechseinhalb Jahre, bis erste motorische Symptome auftreten.

Zweithäufigste neurodegenerative Erkrankung
Parkinson wird oft als eine Alterskrankheit angesehen, obwohl sie schon in der Lebensmitte beginnt und jahrzehntelang unentdeckt bleiben kann. "Die Krankheit ist sehr schwer zu diagnostizieren, bis die Symptome offensichtlich sind", sagt der leitende Wissenschaftler Kevin J. Barnham. "Zu diesem Zeitpunkt sind bis zu 85 Prozent der Neuronen des Gehirns, die die motorische Koordination steuern, zerstört." Zu dem Zeitpunkt seien viele Behandlungen wahrscheinlich wirkungslos. Langfristiges Ziel sei es, so Barnham, einen Weg zu finden, die Krankheit viel früher zu erkennen und Menschen zu behandeln, bevor der Schaden eintritt.
Parkinson ist derzeit nach Alzheimer die zweithäufigste neurodegenerative Erkrankung, in Deutschland sind mindestens 200.000 Menschen betroffen, mit deutlich steigender Tendenz. Die Krankheit entsteht, wenn jene Nervenzellen im Mittelhirn zugrunde gehen, die den Botenstoff Dopamin produzieren, der für viele Funktionen im Körper zuständig ist. Dann kommt es zu den typischen Folgen wie dem Zittern der Hände, zu stakkatoartigen und verlangsamten Bewegungen, dem steifen Gang mit kleinen Schritten.
Augenscan und Bluttest zur Früherkennung
Künftig könnten auch andere Methoden der Früherkennung zur Anwendung kommen: Etwa Augenscans, die im Durchschnitt sieben Jahre vor dem ersten Auftreten der Symptome auf Parkinson hinweisen. Dazu hatte ebenfalls die Fachzeitschrift "Neurology" kürzlich eine Studie veröffentlicht. Oder ein Bluttest, mit dem das Protein Alpha- Synuclein nachgewiesen wird, der als vielversprechender Marker für eine spätere Erkrankung gilt.
Doch will man schon Jahre vorher wissen, dass einen eine unheilbare Krankheit trifft? Das ist allenfalls von Nutzen, wenn sich im Vorwege etwas gegen die Erkrankung tun lässt. In gewissem Umfang sei Prävention durchaus möglich, sagt Lars Timmermann, Präsident der Deutschen Gesellschaft für Neurologie. So könne körperliche Aktivität die mit dem Absterben der Nervenzellen verbundenen Entzündungsprozesse reduzieren und den Energiestoffwechsel der Zellen verbessern. Auch sei es wichtig, Kopfverletzungen, Erschütterungen, Schwerhörigkeit und Umweltgifte zu meiden.
Weiterhin ist eine gesunde Darmflora wichtig, die mit einer entsprechenden Ernährung unterstützt werden kann. Und es gilt negativen Stress so weit wie möglich zu vermeiden. Das alles ist keine Garantie dafür, die Krankheit zu verhindern – aber es sind Verhaltensweisen, die für alle Menschen gesundheitliche Vorteile mit sich bringen.